Ar norint gražios šypsenos pakanka vien ortodontinio gydymo?
Turite netaisyklingą sąkandį, susigrūdusius dantis ir galvojate apie gražią šypseną. Ortodontinis gydymas esant netaisyklingam sąkandžiui – tikrai yra geriausias pasirinkimas, norint atkurti šypsenos estetiką. Tačiau po ortodontinio gydymo dažnai dar reikalingos papildomos procedūros, kurių pagalba sukuriama maksimaliai graži šypsena.
Kokios papildomos procedūros dar gali būti reikalingos, norint pasiekti maksimaliai gražią šypseną?
- Dantų balinimas. Balti dantys suteikia didesnio pasitikėjimo savimi bei žavesio. Todėl dažnai pacientai po ortodontinio gydymo atieka dantų balinimą. Svarbu žinoti, kad balinant dantis – plombos ir vainikėliai/laminatės nebąla, todėl šias restauracijas po balinimo gali tekti pakeisti.
Dažniausiai rekomenduojamas dantų balinimas kapomis (namuose), nes tada naudojamas mažos koncentracijos peroksido karbamidas ir pasiektas rezultatas yra stabilesnis, ilgiau išlieka:)
- Estetinis plombavimas. Jis reikalingas šiais atvejais:

– Jei dėl netaisyklingo sąkandžio stebimas kandamųjų karštelių patrupėjimas, nudilimas;
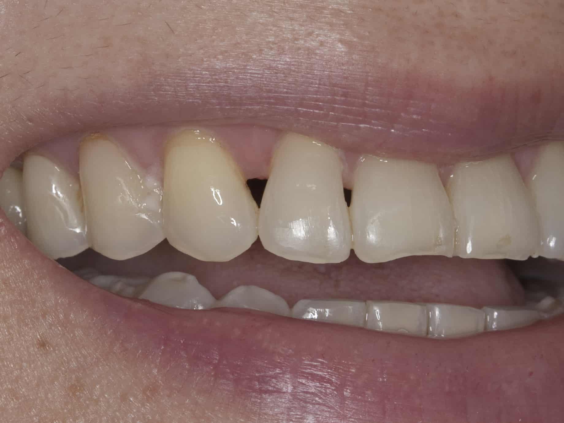
-Jei atstačius dantis į taisyklingą poziciją išryškėja tarpdančiuose esančios pigmentuotos/nekokybiškos plombos;

-Jei ištiesininus priekinius dantis, kurių vainikų forma yra trikampė – tarp dantų susiformuoja „juodi trikampiai”. Jie atrodo neestetiškai, ir juos galima „uždaryti” plombomis.
-Jei dantys (dažniausiai viršutinio žandikaulio šoniniai kandžiai) yra smulkūs, anatomiškai per maži. Tada ortodontas specialiai palieka erdvės apie smulkius dantukus, kad estetinio plombavimo specialistas plombuodamas galėtų atkurti gražią, taisyklingą danties formą;
Taigi po ortodontinio gydymo norint turėti gražią šypseną – dažnai rekomenduojama atlikti estetinį plombavimą, kurio metu dantys yra minimaliai „šlifuojami” arba visai negręžiami, nes yra taisyklingoje padėtyje, tiesiog estetiškai atstatoma danties forma (prieš tai dantis išbąlinus arba ne – priklauso nuo paciento poreikio).
- Protezavimas laminatėmis/vainikėliais. Protezavimas atliekamas tada, jei dantis yra stipriai pažeistas, daug kartų plombuotas, endodontiškai gydytas ir norima pakeisti to danties spalvą/formą.

Danteninės šypsenos korekcija. Jei po ortodontinio gydymo šypsantis matosi dantenos ir paciento tai netenkina – galima atlikti danteninės šypsenos korekciją. Koks korekcijos metodas yra pritaikomas – priklauso nuo to, kokia danteninės šypsenos susiformavimo priežastis. Dažniausiai yra atliekamas dantenų/kaulo pašalinimas chirurginiu būdu (pavyzdžiui, skalpeliuku ir pan.) arba lazeriu, tačiau gali būti taikomos ir botulino injekcijos ar viršutinės lūpos repozicionavimas. Daugiau apie danteninę šypseną skaitykite ČIA.

InMedica, Antakalnio g. 48A, Vilnius